At BIDC dental center, each portion of your dental works is treated by corresponding dental specialists. This ensures each part of your treatment is properly and successfully treated by a well-experienced and well-qualified dentist. So for example, if you are here for a full mouth restoration treatment that may consist of multiple treatments. You will likely meet several dentists within your sessions – missing gaps with implants are treated by implantologists; root canal treatment are preformed by endodontists; your veneers and crowns by prosthodontists.

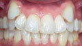
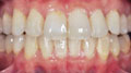
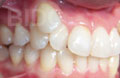
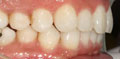
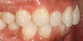
Each individual person is different, so below are simply sample reference cases of treatment results by our dentist for past patients. Below are some before and after case gallery for your reference.
- Dental Makeovers Cases (Crowns, Veneers, Bridges)
- Dental Implants Cases
- Invisalign Cases
For your own individual plan and case, if you are unsure about how your post treatment results may appear, our aesthetic dentist can do a study mockup model of how your after treatment results look like. The mockup may be a physical impression model placed over your actual tooth before treatment starts or a computer simulated mockup with photography and videography using digital smile design concepts.





















































