Dental Services: Prosthodontics Dentistry
Prosthodontics
Prosthodontics dentistry or prosthetic dentistry aims to replaces missing teeth with false teeth. Prostheses are also used to treats existing teeth with significant damage or missing tooth structure.
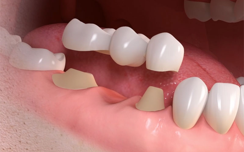
Dental bridges are false teeth that are designed to bridge the gap created by one or more missing teeth. Bridges are anchored on either side by crowns and cemented permanently into place.
Dental Implants are replacement tooth roots. Implants are actually a small post made of metal that are placed into the bone socket where teeth are missing. The implant is covered with a replacement false tooth called a crown.
Dental crowns are a tooth-shaped dental caps placed over teeth to restore its shape and size, strength, appearance. They are used dental bridges or prostheses over dental implants.
It is important that missing teeth are replaced. When teeth are missing, existing teeth can drift into surrounding empty gaps. This leads to crooked teeth and becomes difficult to resolved over the long-run. It can damage tissues in the mouth and makes it harder for a thorough clean. Misaligned teeth runs the risk of tooth decay, periodontal disease that cause further tooth loss. Missing teeth also can give raise to bone loss. When teeth is left over time, the bone in the area starts to resorb without teeth. Bone loss leads to a lack of support for lips and cheeks. This in turns can cause overall face to sag. Having teeth replaced with various prostheses gives facial support, improves your smile and helps you to chew food properly or speak properly.
If you have teeth that is damaged or missing, talk to your prosthodontist on which prosthodontics treatments option is best suited for your case. Dental implants, dental bridges or crowns and dentures each has its benefits and limitations. Your choice of prosthetics will depend on your expected end result, oral condition, your oral habits as well as budget.















